X
 12.11.2019 Наука

Погледнете како мозочната течност го „пере“ нашиот мозок во текот на ноќта

Нашето тело буквално „го пере“ мозокот секоја вечер, а невронаучниците сега направија фасцинантна видеоснимка што го покажува овој ноќен процес на пулсирање во акција.

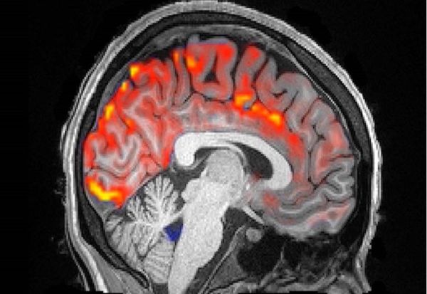
Според најновите истражувања, во текот на ноќта низ нашиот мозок течат бранови на цереброспинална течност, ритмички пулсирајќи додека спиеме, истовремено отстранувајќи ги штетните токсини. Цереброспиналната течност го исполнува просторот околу мозокот и 'рбетниот мозок и ги штити од директен контакт со коскениот ѕид околу мозокот.

- Веќе некое време знаеме дека во невроните постојат бранови на електрични активности. Но, дури сега ги забележавме брановите во цереброспиналната течност - вели невронаучникот Лора Луис од Универзитетот во Бостон.

Претходните истражувања посочуваа дека цереброспиналната течност е важна за отстранување на отпадот во мозокот, но досега научниците не знаеле за оваа пулсирачка акција или не биле во можност да ја набљудуваат.

Во комбинација со мозочната активност на бавен бран и намалувањето на протокот на крв што се случува додека спиеме, овие бранови на цереброспиналната течност изгледаат како да ги „мијат“ непотребните протеини и другите излишни остатоци.

Со оглед на тоа што бавната фреквенција на бранови на мозокот се намалува со процесот на стареење, ова последно истражување може да помогне во решавање на проблемите поврзани со стареењето, заедно со специфични нарушувања карактеристични за постарите лица.

Подготвил: Тамара Гроздановски

Издвојуваме

Слични вести од Fakulteti.mk

Наука