Иако вакцините против ковид спасија милиони животи на глобално ниво, речиси секој десетти од закрепнатите сè уште има некакви симптоми откако ќе помине првичното заболување.
Овие пациенти се соочуваат со неверојатна низа од над 200 симптоми, вклучувајќи вртоглавица, дијареја, останување без здив, замор и мозочна магла, која може да трае со месеци или дури со години.
- Фрустрирачки, дури и пациентите што искусуваат долг ковид и кои опишуваат проблеми поврзани со дишењето, покажуваат нормални резултати на стандардните клинички тестови за дишење - вели Мајкл Николсон од установата за здравствената заштита „Сент Џозеф“ во Лондон.
Но, новата техника на снимање сега јасно го откри изворот на проблемот со дишењето.
- Наодите ни овозможија да покажеме дека постои физиолошко влијание врз белите дробови на пациентот што е во корелација со неговите симптоми - вели Николсон.
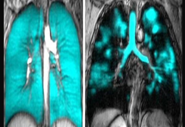
Скеновите ја покажуваат големата штета што може да ја предизвика ковид-19 на нашите нежни респираторни органи. Без разлика дали се работи за самиот вирус или одговорот на телото на него, некој механизам ефикасно ја намалил функцијата на белодробните крвни садови на пациентите, откинувајќи голем дел од најмалите каде што се одвива многу важната размена на гасови.

Фото: Alexander Matheson
Истражувачите, предводени од физичарот Александар Матесон од Западниот универзитет, им наложиле на 40 доброволци – 34 со постакутен ковид-19 синдром и 6 без долг ковид – да вдишат ксенон. Гасот резонира со карактеристична фреквенција под МРИ, овозможувајќи им на истражувачите да ја набљудуваат активноста на дишните патишта и крвните садови во реално време.
- И кај оние што се соочуваат со симптоматски постковид, дури и да немале доволно тешка инфекција за да бидат хоспитализирани, ја гледаме оваа абнормалност во размената на кислород преку алвеоларната мембрана во црвените крвни зрнца - вели биофизичарката Грејс Парага од Западниот универзитет.
- На МРИ видовме дека транзицијата на кислород во црвените крвни зрнца е опадната кај оние симптоматски пациенти што имале ковид-19, во споредба со здравите волонтери - велат истражувачите.
Бидејќи симптомите на грип се најочигледни и најчести знаци на ковид-19, тој често се отфрла како само уште едно респираторно заболување, но ковид-19 всушност е и васкуларна болест, што значи дека може да се меша со циркулаторниот систем. Вирусните честички директно ги таргетираат ендотелијалните клетки, кои ги обложуваат ѕидовите на нашите крвни садови и срцето.
Васкуларното оштетување се рефлектира со скеновите со МРИ; и другите скенирања ги потврдуваат абнормалностите во најдобрите крвни садови во нашите бели дробови.
Претходно истражување покажа промена на дистрибуцијата на крв од помали кон поголеми крвни садови во белите дробови на хоспитализираните пациенти со ковид.
Истражувањето беше објавено во списанието „Радиолоџи“.
Извор:
Science Alert
Фото: Alexander Matheson