X
 10.02.2023 Живот

Поради ретка форма на рак на простатата, Американец почнал да зборува со ирски акцент

Ретка форма на рак на простатата предизвикала еден маж од 50 години одеднаш да почне да зборува со ирски акцент - промена која останала со него до крајот на животот.

Во медицинската литература постојат само два други извештаи за видови рак кои предизвикуваат синдром на странски акцент (FAS). Ова е прв случај поврзан конкретно со рак на простата.

FAS е невообичаено нарушување на говорот што може да предизвика личноста одеднаш да добие туѓ акцент без позната причина, при што изговорот се менува така што личи на друг дијалект или јазик.

Синдромот најчесто се поврзува со мозочни удари или трауматски повреди на мозокот. Најпознатиот случај, на пример, е случајот на една Норвежанка во 1941 година која се здобила со повреда на главата за време на бомбардирањето на Осло. Неколку месеци подоцна таа почнала да зборува со нешто што звучело како германски акцент. Еден понов пример е од пред неколку години, кога една жена од Аризона буквално се разбудила зборувајќи како Мери Попинс. Во нејзиниот случај причината не била јасна.

Многу поретки се случаите кои се дефинитивно поврзани со некаков вид тумор. Всушност, има само два други примери наведени во литературата.

Според една студија на случај објавена во 2008 година, една жена од 60 години почнала да зборува со различен, неодреден акцент откако ракот на дојката ѝ се проширил до мозокот. Во сличен случај, 50-годишна Италијанка со тумор на мозокот одеднаш почнала да зборува со поинаков ритам и мелодија.

И покрај вниманието посветено на случаите каде што луѓето одеднаш развиваат одредени странски акценти, повеќето случаи на FAS се генерички промени во производството на говор кои не можат лесно да се поврзат со некој специфичен географски регион.

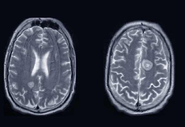
Неодамнешниот случај на мажот од САД на кој му беше дијагностициран рак на простатата е редок пример за промена на гласот што многу наликува на препознатлив акцент. Тој немал ирско потекло и никогаш не бил во Ирска. Сепак, по само 20 месеци откако му бил дијагностициран метастатски рак на простатата, почнал да разговара со јужноирски акцент.

За разлика од претходните извештаи, овој пациент првично немал никакви забележливи тумори во мозокот, иако некои се појавиле како што напредувала болеста.

Со оглед на времето, лекарите се сомневаат дека FAS на пациентот е резултат на ретко паранеопластично невролошко нарушување. Ова нарушување е предизвикaно кога ракот надвор од мозокот предизвикува имунолошки одговор кој може да влијае врз нервниот систем оддалеку.

И покрај хемотерапијата и зрачењето, ракот на пациентот продолжил брзо да напредува, постепено парализирајќи го неговото тело и, за жал, на крајот починал. Човекот го имал овој акцент до крајот на животот.

- Оваа необична презентација ја нагласува важноста на дополнителна литература за ова нарушување поврзано со рак на простата за да се подобри разбирањето на врските помеѓу овие ретки синдроми и клиничката траекторија - пишуваат авторите на студијата на случај.

Извор: Science Alert
Фото: Broderick et al., BMJ Case Report, 2023
Подготвил: Тамара Гроздановски

Издвојуваме

Слични вести од Fakulteti.mk

Живот