Основната теза на мнозинството теории на заговор за коронавирусот што се проширија по интернетот во текот на изминатите неколку недели е дека е создаден во лабораторија.
Според една теорија, вирусот е создаден во институт во Вухан и некако „побегнал“ оттаму. Според друга теорија, вирусот бил создаден од фармацевтските компании за да можат на крилјата на паниката да продаваат вакцини. Според третата теорија, во приказната е вклучена и Фондацијата на Бил и Мелинда Гејтс, која финансира истражувања на заразни болести и за таа цел соработува со научници и фармацевтски компании. Според четвртата теорија, тој е создаден на Запад и е внесен во Кина како биолошко оружје за да се уништи конкурентската кинеска економија и така натаму...
Сега веќе има мноштво теории на заговор и тешко е да се следат сите, а не пак да се побиваат по ред. Но, со оглед на тоа дека тие непотребно долеваат масло на веќе постојниот оган од паника и дека не се безопасни затоа што се однесуваат на здравјето, ќе се обидеме да ја истражиме споменатата основна база, односно колкава е веројатноста новиот коронавирус навистина да е создаден во лабораторија.
За почеток треба да се истакнат неколку важни работи.
Продавачите на магла постојат затоа што одлично заработуваат
Пред сѐ, постојат цели индустрии и поединци кои профитираат од разни теории на заговор, особено од оние што се однесуваат на човековото здравје. На пример, светскиот пазар за продажба на хомеопатските производи уште во 2015 година достигна 3,8 милијарди долари, а поради тоа што побарувачката забрзано расте, според проекциите на „Транспаренси маркет рисрч“, до крајот на 2024 година ќе достигне 17,4 милијарди. Тоа не се малку пари. Истражувањата исто така покажуваат дека дури третина од Американците денес користат алтернативна медицина. И сето тоа и покрај фактот дека мнозинството алтернативни производи не покажуваат ефикасност поголема од плацебо.
Секако, на индустриите со алтернативни производи им одговара стравот од конвенционалната медицина така што профитираат и од теориите на заговор и ширење страв од мејнстрим-наука и медицина. Еден од попознатите примери е антиваксерското движење и неговиот гуру Ендрју Вејкфилд, посрамен научник кој стана милионер со ширење страв од вакцинирањето.
Тоа што алтернативните индустрии засега не заработуваат колку фармацевтските компании кои произведуваат вакцини и конвенционални лекови, односно што првите се чинат како Давид, а другите како Голијат, не ги прави аргументите на теориите на заговор поприфатливи. Имено, за сè во светот, без разлика каква глупост ќе се измисли, може да се отвори профитабилна ниша, поголема или помала. Додека некој заработува добро со продажба на магла, макар и тоа да се само неколку лица, таа ќе има потенцијал да преживее и евентуално да се шири. Освен тоа, производството на магла е неспоредливо поевтино од научните истражувања и тестирања и производството на лекови. Тоа, пак, значи дека е попрофитабилно бидејќи односот на вложување и профитирање е поповолен.
Раст на приходи од алтернативна медицина во САД
Фото: Index
Кои се купувачите на магла и зошто е толку привлечна?
Сега имаме барем некоја скица на причини за постоењето на продавачите на магла. Следното прашање е кои се купувачите на магла и зошто таа е толку привлечна? Притоа, треба да се има на ум дека дека и некои студии од регионот покажаа дека постои силна корелација меѓу антиваксерството и склоноста кон теориите на заговор, па и религиозноста, особено од њуејџ-типот.
На темата теории на заговор направени се повеќе психолошки истражувања. Угледното списание „Сајколоџи тудеј“ пишува дека истражувањата досега дале многубројни интересни резултати кои посочуваат на поврзаност меѓу одредени црти на личноста и склоноста кон теории на заговор. Пред сѐ, тоа се макијавелизам, односно склоност кон манипулација на другите, потоа отвореност за нови искуства, нарцизам, односно зајакнато доживување на самоважноста и ниското ниво на подготвеност за согласување со другите. Покрај наведеното, тука се и пониските нивоа на аналитичко мислење и склоноста кон уочување на причините, односно некои поврзани правилности, таму каде што ги нема.
Конечно, една нова студија покажа дека луѓето склони кон теории на заговор се чувствуваат задоволни од себеси бидејќи се доживуваат како луѓе кои размислуваат надвор од рамките, единствени и поразлични од мнозинството. Таа потреба за единственост може да се манифестира како потреба да имаат необични хобија, домашни миленици и религиозни убедувања. Но, исто така, може да се протолкува и како потреба на поразличен, нетипичен и неконвенционален начин да се толкуваат разни појави и настани.
Во теориите на заговор често има зрно вистина, но нецелосна
Секако, сето ова наведено не значи дека во светот не постојат вистински заговори или дека во теориите на заговор нема барем зрно вистина. Има многу примери од различни системи, индустрии и лоби-групи од прехранбената, тутунската, фармацевтската и политичката сфера кои своите производи ги претставуваат во искривен и разубавен свет. Во таа смисла, и тие самите придонесоа за раст на степенот на недоверба во светот, особено во некои полошо уредени земји. На пример, истражувањата покажуваат дека нивоата на доброволно вакцинирање се највисоки кај оние популации што имаат најголема доверба во својата власт, на пример, скандинавските земји.
Но, тоа што заговорите навистина постојат не значи дека за секој сериозен проблем и настан во светот теоретичарите на заговори имаат поверојатен одговор од науката и експертите. Напротив, науката и експертите речиси секогаш се извори на најдобрите одговори бидејќи лагата во науката не може долго да се одржи. Секогаш ќе има стотици илјади научници кои на најмалиот знак на сомнеж ќе се обидат да ја проверат, разоткријат и демантираат секоја сомнителна теза. И во тоа ќе бидат успешни и наградени - и со углед и финансиски. Со други зборови, научниците се многу свесни дека нема смисла да се продава магла бидејќи во светот на науката многу лесно се губат кредибилитетот и кариерата.
Сега, кога барем нешто разјаснивме, да се навратиме на нашата главна тема, а тоа е прашањето: Колку е веројатно коронавирусот да е создаден во лабораторија?
Дали вирусот побегнал од лабораторија?
Според една од популарните теории на заговор, коронавирусот побегнал од лабораторија на Институтот за вирологија во Вухан, кој се занимава со истражување на најопасните патогени, како причинителите за ебола, сипаници, треската Ласа и хеморагичната треска Марбург.
За жал, за ширењето на оваа теорија на заговор, која како да излегла од некој филм за катастрофа, помогна и лошо изработениот нерецензиран труд на индиски научници, според кој, кинеските научници во коронавирусот всадиле гени на ХИВ за да може лековите за ХИВ да дејствуваат на вирусот.
Студијата ја побија голем број научници во светот и таа набрзо беше повлечена.
Кинеската научничка Ши Женгли, која го предводела истражувањето кое покажа дека новиот коронавирус може да влезе во клетките преку рецепторите ACE2, со кои се служи и вирусот САРС, и дека веројатно дошла од лилјаците, исто така го демантираше индискиот труд.
- Можам со својот живот да се обложам дека тој нема ништо со лабораторија - напиша таа.
За жал, како што и обично се случува, теоријата на заговор остана. Тоа може и да се очекува затоа што истражувањата покажаа дека луѓето што се склони кон теории на заговор стануваат сè поубедени во нив како што сè повеќе научници со аргументи се обидуваат да ги разубедат. Во нивната теорија на заговор научниците би постапиле баш така.
Вирусот што ќе побегне би можел да се препознае
Едно од клучните прашања во овој контекст е - можат ли вештачки создадените вируси некако да се препознаат?
Кристијан Влаховичек, водител на групата за биоинформатика во Заводот за молекуларна биологија на Природно-математичкиот факултет во Загреб, вели дека веројатноста вирусот да е создаден во лабораторија е многу мала, иако не е нула, и дека пребеганиот вирус веројатно би можел да се препознае дека е развиен со генетичка манипулација.
- Кога се истражуваат генските промени на вирусите и нивните ефекти, во геномот на вирусот може да се вградат одредени обележја за да може тие секогаш да се распознаваат. Тоа е во интерес на истражувачите бидејќи така може многу полесно да се следат експериментите на вирусите. Секако, кога некој би сакал да прикрие дека вирусот е создаден вештачки, би можел да ги отстрани таквите обележја. Но, во сржта на вирусите кај кои сакаме да развиеме некое својство би било полесно истото да се развие со одгледување и селекција во лабораторија отколку со генетичка манипулација. Особено ако не сакаме дополнителното својство да се препознае како вештачко. Тоа значи дека вирусите се одгледуваат во култури на клетки и потоа од нив се одбираат оние што имаат поизразени сакани својства. И така многу пати додека не се добие она што се сака, токму кога одбираме својства на билки или животни. Но, тоа сè уште не би значело дека така избраниот вирус успешно ќе се пренесува меѓу луѓето. За тоа на крајот би требало да има луѓе на кои вирусите би се тестирале одново и одново, што е прилично тешко да се спроведе, дури и во најзатворените држави - истакнува Влаховичек.
Вирусот тешко може да побегне од лабораторија
Но, дури и кога првиот дел од теоријата - дека кинеските научници си играле со коронавирусот во лабораторија - би бил точен, оној вториот, дека побегнал, сѐ уште би бил малку веројатен. Имено, Институтот во Вухан има највисоко ниво на биосигурност.
Вирологот Ванда Јураниќ-Лисниќ од Медицинскиот факултет во Риека, која неодамна била во Кина како предавач на светски конгрес за имунологија, вели дека тоа се исклучително високи нивоа кои го прават малку веројатно бегањето на вирусот.
- Тоа значи дека лабораториите се под негативен притисок, поради што воздухот не може да излезе надвор, туку само да влезе во собата. Таквите лаборатории имаат и најфини ХЕПА-филтри кои го прочистуваат воздухот што влегува и излегува од лабораторијата. Сите луѓе што работат таму се облечени во посебни скафандери кои личат на вселенски костими и кои се под притисок. Тие минуваат низ посебни простории во кои костимите се дезинфицираат, самиот контакт со персонал со вирус е сведен на најмала можна мерка со работа во посебни комори преку вградени дебели ракавици. Сè што дошло во контакт со патоген се пали или стерилизира - вели Лисниќ.
Влаховичек вели дека научниците исто така имаат техники со кои можат да го спречат бегањето на микроорганизмите.
- Во вирусите или бактериите можат да се вградат механизми кои оневозможуваат тие да преживеат надвор од зададените лабораториски услови. Дури може и да се вградат механизми за самоуништување - вели експертот.
Кога вирусот би бил создаден вештачки, тоа би можело да се препознае
Кога некои терористи би создавале вирус, тие веројатно не би се ни обиделе да го сокријат тоа. Напротив, веројатно би им било задоволство да можат да кажат - видете, тоа е наше дело, а доказ е токму овој ген кој ние многу добро го познаваме затоа што го создадовме. Секако, секогаш постои можност некоја држава да создаде вирус за биолошка војна и нејзините научници да се обидат да ги сокријат трагите.
Но, Јураниќ Лисниќ смета дека дури и таквите интервенции во поголемиот број случаи би можеле да се препознаат со своевиден микробиолошки CSI.
- Сѐ што се секвенционира секогаш се споредува со веќе постојни секвенции. Така се работи и сега кога се истражува геномот на коронавирусот и се доаѓа до заклучокот дека потекнува од лилјак. Кога некој би извел малку поголема манипулација, на пример, да вметнал некој ген за поголема вирулентност или нешто што ќе го крене нивото на токсинот цитокин во организмот и слично, тоа би се препознало кај секвенционирањето. Во споредба со другите коронавируси, би можело да се препознае дека е вметнато нешто ново и дека тоа новото не е мала промена предизвикана од мали неорганизирани мутации. Секако дека е можно некоја мала точкеста мутација, во која се променети неколку парови бази, да го направи вирусот повирулентен. Но, таквата мала манипулација не е лесно да се смисли. Треба добро да се познаваат вирусот и генот кој се манипулира, а потоа и да се тестира резултатот на живи организми. Вирусот кој е под ваква лупа интензивно се секвенционира и добиените секвенции се споредуваат со постојни, па многу манипулации би можеле лесно да се забележат. Која било просечна микробиолошка или дијагностичка лабораторија опремена дури и со најевтиниот или стар уред за секвенционирање во Хрватска би можела да го изведе тоа - вели таа.

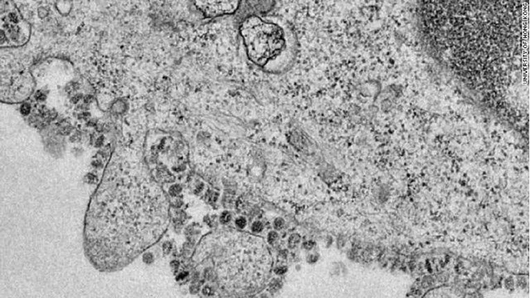
Како изгледа напад од коронавирус (темните кругови се вирусот)
Фото: Index
Кога би бил вештачки, би бил поопасен
Кога вирусот би бил создаден во лабораторија, прашање е како би бил уреден. Ако функцијата би му била да го намали бројот на населението, како што тврдат некои теоретичари на заговор, тогаш веројатно би бил многу поопасен.
- Коронавирусот се шири успешно, но не е особено смртоносен. Кога би се користел за потреби на војување, веројатно би бил многу посмртоносен - вели Лисниќ.
Влаховичек истакнува дека војната со вируси исто така не е најпаметниот вид на војување бидејќи вирусите секогаш се враќаат како бумеранг.
- Нивното ширење не може да се контролира така што да нападнат само една нација или ограничено подрачје. Тие не се како бомби кои прецизно се фрлаат и уништуваат точно одредено место и популација. Луѓето во светот имаат роднини и пријатели. Секој со секого е поврзан во неколку чекори и тешко е да се направи истиот вирус со кој е нападната популација на другиот крај од светот да не зарази некој што е близок до создавачите на вирусот. Секако, тоа би можело да се реши со однапред создадена вакцина, меѓутоа, вирусите мутираат и еволуираат. Никој не може да биде сигурен дека ќе има трајна заштита од коронавирусот бидејќи тој може брзо да еволуира слично како и вирусите на грип, за кои секоја година мора да се прави нова вакцина - вели Влаховичек.
Теоријата на заговор за Гејтс е бесмислена
Теоријата според која во создавањето на коронавирусот е вклучена и фондацијата на Бил и Мелинда Гејтс е една од пораспространетите, но и поапсурдните. Според таа теорија, фондацијата пред три месеци предвидела ширење на коронавирусот и смрт на околу 65 милиони лица. Истовремено, фондацијата наводно, заедно со некои лаборатории, развила и патентирала вакцини против коронавирусот.
Но, таа теорија е апсурдна од повеќе причини. Пред сѐ, не изгледа дека вирусот ќе однесе приближно толку животи колку што е наведено во симулацијата која би требало да биде некој вид предупредување дека треба да се подготвиме за можна пандемија. Како второ, против вирусот 2019-nCoV не е развиена, ни патентирана никаква вакцина или лек. Сите вакцини, лекови и средства за дезинфекција што постојат се развиени за грип и други видови коронавирус, како САРС, но не и за 2019-nCoV. Нема никакви докази дека постојните средства ќе бидат делотворни во борбата против новиот коронавирус, а нема ни гаранција дека ефикасна вакцина ќе биде развиена наскоро. Сосема е можно да треба да чекаме и неколку години. И на крајот, фондацијата троши милијарди на борба против заразните болести, па нема баш никаква смисла да си создава бесмислени трошоци.
Природното настанување на вирусот е многу поверојатно
За крај, треба да се истакне дека природното настанување на вирусот во Кина е многу поубедливо толкување од оние што ги нудат теоретичарите на заговор. Познато е дека човекот почнал да заболува од животински причинители на болести, вируси, бактерии и паразити, таканаречени зоонози, кога од собирач и ловец станал сточар и земјоделец. Дополнително, очекуваното траење на човековиот живот значително се скратило пред десетици илјади години, кога почнала првата неолитска земјоделска револуција. Едноставно мораме да се помириме со тоа дека патогените се пренесуваат од животни на луѓе, дека одвреме-навреме ќе се јавуваат нови вируси и дека некои од нив може да бидат многу опасни.
Автор: Ненад Јариќ Дојенхојер
Извор:
Index.hr