X
 11.01.2022 Наука

Нов лек го запира растот на ракот така што ги заспива неговите клетки

Новиот терапевтски пристап го спречува растот на метастатски тумори кај глувците со тоа што ги принудува клетките на ракот да преминат во мирна состојба во која не се во можност да се размножуваат. Студијата, објавена на 23 ноември во „Журнал оф експериментал медисин“ (JEM), може да доведе до нови третмани кои спречуваат повторување или ширење на различни видови рак, вклучувајќи рак на дојка и сквамозен карцином на главата и вратот.

Многу пациенти со рак релапсираат, често со години или децении по нивниот првичен третман, и развиваат нови тумори кои повторно растат на истата локација или метастазираат (се шират) на други делови од телото. Овие секундарни тумори често се отпорни на третман и се произведуваат од поединечни туморски клетки кои можат да останат неактивни долги години пред да се реактивираат за повторно да почнат да се размножуваат. Затоа, релапсот на пациентот може да се спречи доколку истражувачите пронајдат начин да ги задржат преостанатите клетки на ракот во мирување.

Во претходно истражување Марија Соледад Соса од Медицинскиот факултет „Икан“ во Маунт Синај и Хулио А. Агире-Гисо, од Медицинскиот колеџ „Алберт Ајнштајн“ открија дека способноста на клетките на ракот да останат неактивни е контролирана од протеинот наречен NR2F1. Овој рецепторски протеин може да влезе во клеточното јадро и да вклучи или да исклучи многу гени за да активира програма која спречува размножување на клетките на ракот. Нивоата на NR2F1 обично се ниски кај примарните тумори, но се покачени во неактивни дисеминирани канцерогени клетки. Нивоата на протеинот NR2F1 потоа се намалуваат уште еднаш кога клетките на ракот повторно почнуваат да се размножуваат и формираат рекурентни или метастатски тумори.

rak
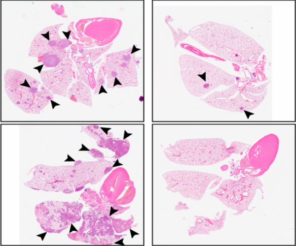
Фото: 2021 Khalil et al.

- Затоа, мислевме дека активирањето на NR2F1 со помош на мала молекула може да биде атрактивна клиничка стратегија за да се поттикне мирување на клетките на ракот и да се спречи повторување и метастази - објаснува Агире-Гисо.

Во новото истражување тимовите на Соса и Агире-Гисо користеле пристап на компјутерски скрининг за да идентификуваат лек, наречен C26, кој го активира NR2F1. Истражувачите откриле дека лекувањето на HNSCC клетките добиени од пациентите со C26 ги зголемило нивоата на NR2F1 и ја запрело клеточната пролиферација.

Истражувачите потоа тестирале дали C26 ќе спречи метастази кај глувците. Животните во кои биле инјектирани HNSCC клетки добиени од пациентот обично формираат големи примарни тумори кои се шират во белите дробови откако оригиналниот тумор е хируршки отстранет. Третманот со C26 ја намалил големината на примарните тумори и, по операцијата, дополнителни дози на C26 целосно го блокирале растот на метастатски тумори. Наместо тоа, белите дробови на глодачот содржеле само неколку заспани дисеминирани канцерогени клетки кои не можеле да се размножуваат дури и по прекинот на третманот.

Тимовите на Соса и Агире-Гисо утврдиле дека со активирање на NR2F1, C26 ги принудува клетките на ракот на долготрајна состојба на мирување, карактеризирана со уникатна шема на генска активност. Пациентите со рак чии тумори покажуваат сличен модел на генска активност имаат тенденција да бидат подолго без релапс, што сугерира дека поттикнувањето на оваа програма за мирување со лекови од типот C26 може да биде ефикасно кај луѓето.

- Лековите што го активираат NR2F1 може да бидат особено корисни за рак на дојка. NR2F1 е многу збогатен со ER-позитивни тумори во споредба со ER-негативни тумори, а активирањето на NR2F1 може да го потисне повторното будење на заспаните клетки на ракот кои се чуваат во таа состојба со антиестрогенски терапии. Меѓутоа, бидејќи третманот со C26 ги зголемува нивоата на NR2F1, пристапот може да биде корисен и за други видови ракови со инхерентно ниски нивоа на рецепторниот протеин - вели Соса.

- Генерално, нашето истражување открива стратегија заснована на механизми и рационално дизајнирана стратегија за искористување на мирувањето активирано од NR2F1 како терапевтска опција за спречување метастатски релапс - вели Агире-Гисо.

Истражувачите, исто така, покажаа дека третманот може да таргетира и повеќе тумори кај животното. Тие сега го проучуваат третманот кај други видови ракови и во комбинација со други имунотерапевти.

Извор: Thebrightside.news
Фото: Freepik
Подготвил: Тамара Гроздановски

Издвојуваме

Слични вести од Fakulteti.mk

Наука