X
 13.03.2023 Наука

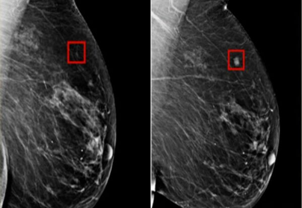
Вештачка интелигенција успеала да детектира рак на дојка четири години пред да се развие

Во разговор за Си-ен-ен, д-р Лери Нортон, медицински директор од Центарот за рак „Слоун Кетеринг“, ја објаснува употребата на вештачката интелигенција за рано откривање рак на дојка.

Истражувачите од Институтот за технологија во Масачусетс развиле систем кој користи вештачка интелигенција за да помогне во предвидувањето на идниот ризик од развој на рак на дојка.

- Овој систем идентификува ризик. Може да ѝ каже на жената дека е изложена на висок ризик за развој на рак на дојка пред уште да се развие ракот на дојка - вели д-р Нортон.



Извор: CNN
Фото: Screenshot/YouTube
Подготвил: Тамара Гроздановски

Издвојуваме

Слични вести од Fakulteti.mk

Наука