Кога Ковид-19 пристигнал во Масачусетс, тоа ја принудило Констанс Леман да провери како општата болница во Масачусетс ги врши прегледите на жените за рак на дојка.
Многу луѓе ги прескокнувале и ги откажувале редовните прегледи и скенирања поради страв од заразување со вирусот. Токму затоа, болницата со која управува Леман почнала да користи алгоритам на вештачка интелигенција за да предвиди кој е под најголем ризик од развој на рак.
Од почетокот на пандемијата околу 20.000 жени го прескокнале рутинскиот преглед. Пет од секои 1.000 испитани жени покажувале знаци на рак.
- Тоа се 100 случаи на карцином што не сме ги дијагностицирале - вели докторката.
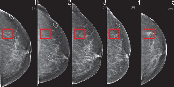
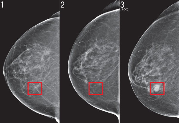
Леман вели дека пристапот на вештачката интелигенција помогнал да се идентификуваат голем број жени кај кои, кога биле убедени да дојдат на рутински скрининг, се покажало дека имаат рани знаци на рак. Жените што биле означени со алгоритамот имале трипати поголема веројатност да развијат рак.
Алгоритамот ги анализирал и претходните мамограми и се чини дека функционира дури и кога лекарите не ги гледаат знаците на предупредување во претходните скенирања.
- Она што го прават алатките на вештачката интелигенција е извлекување информации што моето око и мојот мозок не би можеле да ги извлечат - вели Леман.
Истражувачите одамна знаат за потенцијалот за анализа на вештачката интелигенција во медицинското снимање, а некои алатки го најдоа патот до медицинската нега. Леман неколку години работи со истражувачи на Институтот за технологија во Масачусетс (МИТ) за откривање начини да се примени вештачката интелигенција во скрининзите за карцином.

Фото: MIT
Вештачката интелигенција е уште покорисна како начин за прецизно предвидување на ризикот. Скринингот за карцином на дојка понекогаш не вклучува само испитување на мамограф, туку и собирање информации за пациентите, што подоцна се користат за утврдување на потребата од следен скрининг.
Адам Јала, докторнад на МИТ, почнал да го развива алгоритамот што го користи Леман, наречен „Мираи“, уште пред пандемијата. Тој вели дека целта на користењето на вештачката интелигенција е да се подобри раното откривање и да се намали стресот.
За да го создаде „Мираи“, Јала употребил пристап на апаратско машинско учење, каде што еден алгоритам се обидува да измами друг и да се земат предвид разликите меѓу машините за радиологија, што може да значи дека пациентите кои се соочуваат со ист ризик од
рак на дојка треба да добијат различни оцени.
Алгоритамот ги анализира стандардните четири прегледи со мамограф, од кои потоа донесува заклучоци за пациентот, како историја на операции или хормонски фактори, како што е менопаузата. Ова може да помогне ако тие податоци претходно не се знаеле.
Откриено е дека „Мираи“ е попрецизен од статистичките модели кои обично се користат за проценување на ризикот од рак на дојка кај жените. Јала вели дека моделот генерализира добро поради големата, доволно разновидна база на податоци што ја користи, но забележува дека секогаш е важно да се потврдат алгоритмите во различни поставки.
Леман се надева дека методите на вештачката интелигенција што таа ги тестира ќе може да им користат на луѓето кои обично добиваат помалку медицинско внимание.
- Многу луѓе што се дел од нашиот здравствен систем цел живот живеат како да се во пандемија. Тие немаат пристап до квалитетна нега и не се прегледуваат - вели таа.
Извор:
Wired.com
Фото: MIT