X
 19.04.2022 Наука

Жена која нема дел од мозокот завршила факултет и зборува два јазици

Една жена на која од детството ѝ недостига дел од мозокот успеала да заврши факултет и зборува два јазици.

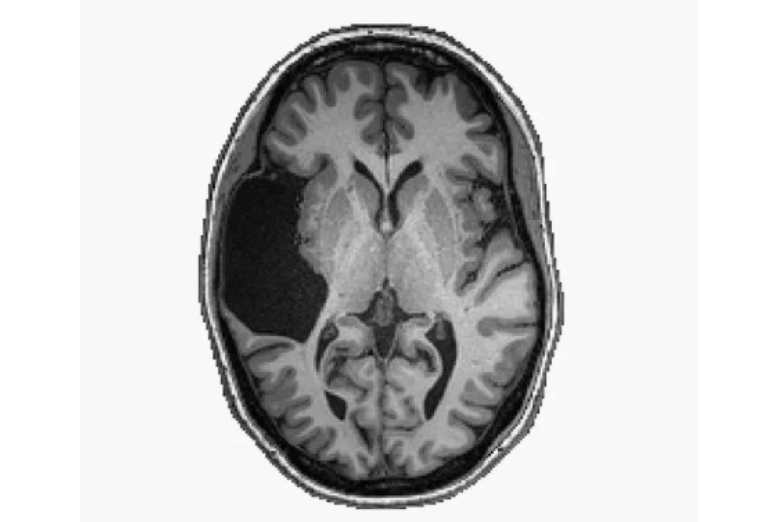
Жената, чиј идентитет не е откриен, им напишала на двајца научници од Технолошкиот институт во Масачусетс во 2016 година објаснувајќи им дека има необичен мозок. Она што е чудно кај нејзиниот мозок е што му недостига голем дел од левата страна, за која научниците мислат дека е одговорна за говорот.

Истражувачите ја упатиле жената кај когнитивниот невролог Евелин Федоренко, која напишала труд за нејзиниот мозок. Фактот дека недостига голем дел од мозокот на жената, која сега е во шестата деценија од животот, немал голем ефект врз нејзиниот живот. Таа дипломирала на факултет, имала импресивна кариера и освен англиски јазик, одлично зборува и руски.



Таа дознала дека нејзиниот мозок е необичен во 1987 година кога ја скенирала главата поради други причини. Аномалијата веројатно се појавила поради мозочен удар кој се случил кога таа била бебе.

- Сознанието целосно ме изненади. Ми беше дури и гадно - открила жената, која долго време криела за состојбата.

Во текот на годините таа се обратила на разни доктори кои ѝ рекле дека тоа едноставно нема смисла. Според Федоренко, која последна го истражувала мозокот на жената, точната улога на секој дел од мозокот треба да се открие, како и начинот на кој целиот систем функционира.

Извор: Studenti
Насловна фотографија: Instagram (printscreen)
Подготвил: Драгана Петрушевска

Издвојуваме

Слични вести од Fakulteti.mk

Наука