X
 04.03.2020 Технологија

Новиот систем на „Алибаба“ може да открие коронавирус за неколку секунди

Кинескиот технолошки гигант „Алибаба“ неодамна разви систем со вештачка интелигенција за дијагностицирање на коронавирусот.

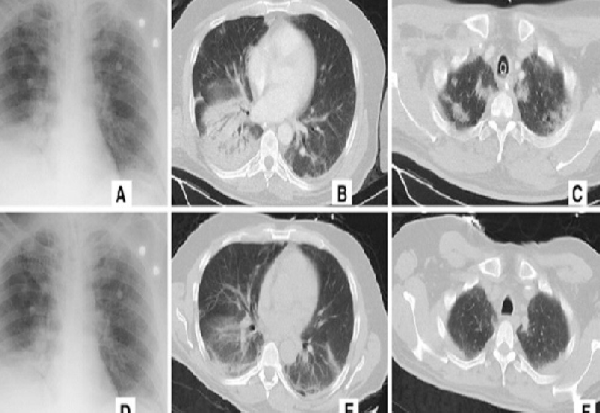
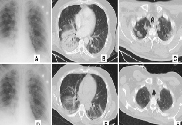
„Алибаба“ тврди дека новиот систем може да открие коронавирус со помош на скеновите од компјутерската томографија на градите на пациентите со 96 отсто точност. Потребни се само 20 секунди за вештачката интелигенција да постави дијагноза. Според извештајот, на луѓето им се потребни околу 15 минути за да ја дијагностицираат болеста бидејќи може да има над 300 слики за процена.

Системот тренирал на слики и податоци од 5.000 потврдени случаи на коронавирус и веќе е тестиран во болниците низ цела Кина. Најмалку 100 здравствени установи во моментот работат со вештачката интелигенција на „Алибаба“.

Но, ова не е единствен уред што може да детектира коронавирус. Организацијата за здравствена заштита „Пинг Ан“ неодамна објави систем со слични карактеристики. Копретседателот на компанијата, Гоеф Кау, во соопштение изјави дека станува збор за систем што чита слики и обезбедува услуги на повеќе од 1.500 медицински установи.

- Од неговото лансирање, паметниот систем што чита слики обезбеди услуги на повеќе од 1.500 медицински установи. Повеќе од 1.500 пациенти бесплатно добиле ваква услуга. Системот може да генерира резултати од паметна анализа за 15 секунди, со стапка на точност од над 90 отсто.

test

Извор: Thenextweb.com
Подготвил: Тамара Гроздановски

Издвојуваме

Слични вести од Fakulteti.mk

Технологија